Leuke pups mogen nu weg€ 850,00
Kenmerken
Geslacht
Meerdere dieren
Type aanbieder
Particulier
Aantal honden
Meerdere
Herkomst
Nederland
Gechipt
Nee
Geregistreerd
Ja
Leeftijd
1 tot 2 jaar
Ontwormd
Ja
Stamboom
Nee
Gevaccineerd
HCC (leverziekte), CDV (hondenziekte)
Beschrijving
Heeft u uw teefje laten dekken en wilt u weten of de dekking geslaagd is?
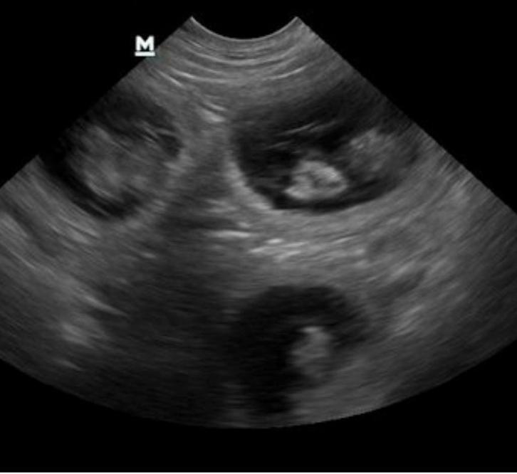
Wij beschikken over een eigen professioneel echo apparaat waarbij wij kunnen kijken of uw kat drachtig is.
het aantal pups of kittens bepalen
Vanaf 28 dagen dracht kunnen wij het het beste zien
Wij rekenen €30van de vaststelling van de dracht
Honden katten groot of klein prijs is 30 euro!!
U kunt bij mijn langs komen of de mogelijkheid om bij u thuis te komen
UBN erkent
Wij beschikken over een eigen professioneel echo apparaat waarbij wij kunnen kijken of uw kat drachtig is.
het aantal pups of kittens bepalen
Vanaf 28 dagen dracht kunnen wij het het beste zien
Wij rekenen €30van de vaststelling van de dracht
Honden katten groot of klein prijs is 30 euro!!
U kunt bij mijn langs komen of de mogelijkheid om bij u thuis te komen
UBN erkent
...
...
...
...
...
...
...
...
...
...
...
...
Eck en Wiel
690x bekeken
30x bewaard
Sinds 18 aug '25
Advertentienummer: m2300866183
Populaire zoektermen
Honden | Dekreuenhonden echohonden schaijkpups honden ierse wolfshondkooiker hondenhonden heidewachtelhonden bergeijkhonden reuhonden reupitbull pups hondenengelse stafford hondenruwharige hondenhonden koningspoedelbandog hondennijntje sinterklaas in Kinderboeken | Baby's en Peutersosprey stratos 34 in Tassen | Sporttassendisco hoed in Feestartikelenvlechtdraad in IJzerwaren en Bevestigingsmiddelenzhongneng in Tuning en Stylingvlakke radiator in Verwarming en Radiatorenmickey tas in Disneyrieten ronde mand in Woonaccessoires | Schalen en Mandenmiele vaatwasser gebruikt in Keuken | Complete keukensstalling sittard in Caravanstallingen